
Restorative Dentistry
There Is No Better Choice for Restorative Dentistry Schedule an Appointment at Blakeney Smiles Today
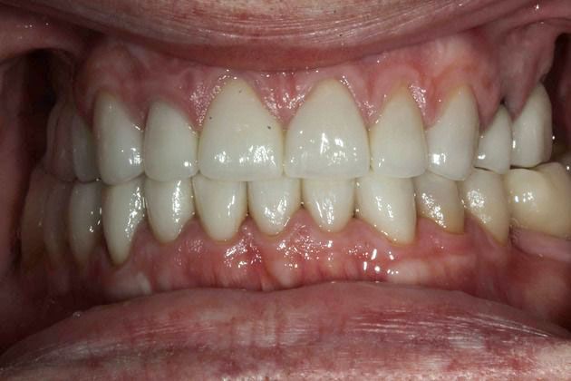
The dynamic dentistry professionals at Blakeney Smiles are here to change the way you think about dental care. Improving and maintaining your dental health is important and we make the process as easy as possible. There is simply no better option for you and your smile.
Schedule your restorative dentistry appointment today at our practice in Charlotte, NC. We offer convenient care for residents of Ballantyne, Gastonia, and nearby areas. You can reach us online, or by calling:
(704) 543-1102
"I highly recommend Advanced Dentistry of Blakeney..."
I’ve suffered from dental issues all my life and ever since I started going to advanced dentistry, my overall health of my teeth has significantly improved and I’m doing much better. I highly recommend Advanced Dentistry of Blakeney for all your dental needs.
View on GoogleExcellent experience. The staff and doctors treat you like a person and not a number. My dentist spent a long time getting to know me before doing the dental work. Very satisfied with the results.
View on GoogleAchieve Your Best Smile
More Information on Our Restorative Treatments
Dental Implants
Dental implants are a revolutionary form of restorative dentistry used to replace any number of missing teeth. Small titanium posts are surgically implanted in the jaw to replicate lost tooth roots and secure an implant-supported restoration. Our dentists place and restore implants and can even offer the All-on-4® implant technique for patients who have sustained bone recession. With our state-of-the-art materials and surgical expertise, Charlotte, Ballantyne, and Gastonia patients can enjoy the lifelong benefits of a healthy functional smile.
Full Mouth Reconstruction
A full mouth reconstruction can combine several types of restorative and cosmetic dentistry to comprehensively rebuild your smile. Patients can choose from implants, crowns, whitening, periodontal care, and more. Our dentists will develop a custom treatment plan to address your unique dental concerns and reach the goals you have for your smile. To ensure you get exactly what you are looking for, we create digital simulations and wax-ups to show you a preview of the final results.
Traditional Crowns
Dental crowns are a versatile and trusted form of restorative dentistry used to strengthen and protect damaged teeth. A crown is essentially a tooth-shaped cap that is placed over a tooth to restore its shape, size, and strength. They are extremely useful for patients with significant damage or decay and can save a tooth from being extracted. Dental crowns blend in seamlessly with your smile and often look better than the natural teeth they are covering. Ask our team about CEREC same-day crowns to complete treatment in one appointment.
Same-Day Crowns
CEREC is an advanced system that allows us to create high-quality custom restorations within our Charlotte, NC, office. Our dentists will take digital impressions of your smile, which are immediately sent to our in-office milling device. In under an hour, you will have a stunning porcelain crown crafted to the precise specifications of your tooth. Best of all, we treat your dental problem and place the CEREC restoration in just one office visit, saving you time out of your busy schedule.
Dental Bridges
Patients with one or more consecutive missing teeth can restore the gap in their smile with a dental bridge. Dental bridges are made up of two or more crowns on each end, and a prosthetic tooth (or teeth) in the middle. The crowns anchor the restoration to your dental arch, while the artificial teeth literally bridge the gap in your smile. Drs. Pinnix and Betancourt offer both traditional and implant dental bridges. The latter are self-supported and will not affect the adjacent natural teeth.
Dentures
Dentures are removable prosthetics for patients suffering from tooth loss. Full dentures will replace an entire arch of missing teeth, while a partial denture addresses gaps in your smile. Patients looking for a lower-cost solution will find traditional dentures to be the most affordable option. However, if you are interested in a more durable and functional solution, consider implant-supported dentures or All-on-4. Dental implants will secure your denture with maximum stability and provide additional health benefits.
Periodontal Care
Our Charlotte dentists use advanced laser technology to provide several effective periodontal treatments. We can remove excess tissue along the gum line to improve the aesthetics and health of your smile. If your gums are receding, we also offer a gum grafting procedure to cover exposed tooth roots.
Oral Surgery
While many practices must refer patients out for advanced types of dentistry like oral surgery, we perform many of these procedures in-house. Our dentists can place dental implants, extract wisdom teeth, and perform bone grafting and sinus lifts conveniently at our Charlotte, NC, office. Since Drs. Pinnix and Betancourt oversee your entire treatment, you can be sure you are getting the best care from skilled hands every step of the way.
Dental Fillings
Our natural-looking dental fillings consist of enamel-colored composite resin. A filling will restore your tooth following cavity treatment without detracting from your appearance. Unlike the distracting metal fillings of the past, this material blends in with the actual tooth structure while providing the same durable support and protection. If you currently have an outdated silver amalgam filling, we can replace the material with this modern and discreet alternative.
Inlays and Onlays
If you have significant tooth decay or a large cavity, we may choose this form of dentistry instead of fillings for better long-term results. Inlays and onlays are similar to fillings but cover a larger portion of the tooth for more comprehensive support. These restorations are sometimes used when old fillings need to be removed and replaced.
"Awesome first appointment! It was the best experience having a filling that I’ve ever had. Everyone was so nice and listened to my concerns and needs. I will most definitely return for follow-up care. Highly recommend!" Kate Agrawal














