
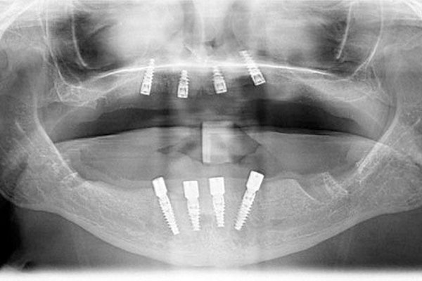
All-on-4 Dental Implants
4 Implants Are All You Need
Contact Our Dental Practice Today!

Dr. Pinnix and Dr. Betancourt take a special interest in complex restorative dentistry cases and will be happy to discuss All-on-4 dental implants with you. Unlike many other dentists, we have additional education in oral implantology and perform your entire treatment from start to finish. Dr. Betancourt is even a Fellow of the International Congress of Oral Implantologists, placing him at the top of the field.
During your consultation, we will assess your teeth and provide you with a personalized treatment timeline and cost estimate. We will make sure treatment is right for your smile, and that you know what to expect every step of the way.
Patients in the greater Ballantyne and Gastonia areas can contact our Charlotte, NC, dental practice to schedule a consultation today. You can reach our office online, or by calling:
(704) 543-1102
5-Star Reviews From Satisfied Charlotte Patients
The Best Experience I've ever had!! I have PTSD from previous dentists hurting me and leaving me in pain for years. The entire office is filled with wonderful, kind and caring people! Dr. Pirtle is AMAZING!!! For the first time since 2012 I have no more pain when I drink or eat anything!! Thank you to all of them!!! I recommend them to anyone!! They do sedation Dentistry, which was amazing for me!!!
View on GoogleDr. Pinnex and his team are truly exceptional! My new smile is beautiful and so natural thanks to Dr. Pinnex's meticulous work. Plus, his team is extremely professional, warm, and caring.
View on GoogleWe Use Cutting-Edge Technology for Superior Results

At Advanced Dentistry of Blakeney, serving Charlotte, Ballantyne, and nearby areas, we use advanced dental technology to ensure the most successful implant results possible.
For example, Dr. Pinnix and Dr. Betancourt can utilize our CAD/CAM system to take digital impressions and create 3D images of your smile. These images allow for more precise planning and conservative treatment. We can also take digital X-rays to accurately visualize the supporting structures of your smile while designing your implant treatment plan.
Many Patients Find All-on-4 Is More Affordable
While the many important benefits of dental implants are no secret, some candidates may hesitate to seriously consider treatment due to the cost. Although every patient's unique needs dictate how much treatment will cost, it is generally more affordable than restoring your smile with traditional implants because:
- It requires fewer implants
- It usually requires only one surgery
- It can allow you to undergo placement without preliminary dental bone grafting

Paying for All-on-4 Dental Implants
Third-Party Financing
While some insurance plans will pay for parts of the treatment, All-on-4 implants are rarely completely covered. However, you can reduce your initial out-of-pocket expenses with affordable financing plans through CareCredit® and Citi® Health Card financing.
Credit Cards
Our Charlotte practice also accepts payment plans through third-party lenders. If your own line of credit is more economical or accessible than other financing options, then you are welcome to use your own line of credit.
Let's Estimate the Cost of Your Treatment

Because you have unique dental needs and no two treatments are exactly alike, the best way to get an idea of how much you can expect to pay for All-on-4 is to meet with our dentists during a private consultation. Your dentist will perform a detailed examination of your bite to determine your candidacy for treatment, and listen as you explain what you hope to achieve. Together, you can decide whether All-on-4 is the best way to rehabilitate your smile, and you can receive an estimated cost of treatment based on this conversation.
Don't continue suffering with an incomplete smile. Write to us or call today to request your consultation:
You Cannot Put A Price
On A Confident Smile...
"After many years of neglecting the proper care of my teeth, I went to Advanced Dentistry of Blakeney. They created a plan that took my budget, my schedule, and my personal comfort into account. After many months, I am able to smile for that picture again." Tracy Ross
Comparing All-on-4 With Traditional Implants
Patients do not have to compromise the quality of their results if they are unable to get traditional dental implants. All-on-4 treatment is highly effective when performed by an experienced oral implantologist such as Dr. Pinnix or Dr. Betancourt.
Good Candidates Have:
Complete Tooth Loss
Our doctors will always try to save any remaining teeth if possible. However, there are cases in which removing and replacing all the teeth on a dental arch is the best option to restore your health.
Jawbone Atrophy
This method is especially helpful for patients who have experienced tissue loss in their jaw – a natural side effect of missing teeth. This technique can help you avoid the need for a bone grafting procedure.
Otherwise Good Oral Health
Certain oral health issues, such as gum disease, can interfere with the success of your implants. Our Charlotte dentists can recommend additional dental treatments to restore candidacy.
But the treatment is not right for everyone...
All-on-4 implants are specifically designed to replace an entire upper or lower arch of teeth. We do not recommend this type of dental implant for patients missing a single tooth or those who have retained the majority of their natural teeth. If you have less extensive tooth loss, an implant-supported crown or bridge may be a more effective solution than a full arch denture. When you arrive at our practice for your consultation, we will help you determine if traditional implants or All-on-4 implants are better for you.
New Teeth In Just One Day
Choosing All-on-4 means you never have to go without teeth.
Frequently Asked Questions About All-on-4 Dental Implants
Can I go have a steak dinner right after I get my temporary denture?
Not yet! Although you will notice right away that your denture feels more stable than a traditional denture, each implant must integrate with the jaw before you can start using your All-on-4 denture to bite into hard, sticky, tough, or chewy foods. You will need to stick to a diet of soft and finely cut foods until your dentists determine that your jaw has properly healed.
Will my insurance cover any part of this treatment at all?
While basic insurance plans do not cover implants, most will contribute to the cost of your dentures and preparatory treatments such as extractions and gum disease treatment. Our team will work directly with your provider to help secure maximum coverage of all eligible treatments.
How do I care for my All-on-4 dentures?
Fortunately, you can care for implant-supported restorations just like natural teeth. Brush twice a day, floss at least once each day, and see us every six months for routine checkups.Why Charlotte Trusts Us
Advanced Dentistry of Blakeney has been my dental office for years. This is a great dentist office with friendly staff. Whether it is a routine exam, quarterly cleaning, a crown or an implant they always provide great work.
View on GoogleAlways outstanding service and people!! My family and I have used several different Dentists over the years… Advanced Dentistry is absolutely the best we have had! We have been with them almost 10 years now!
View on Google



